Leczenie zębów w jeden dzień to innowacyjna metoda, która zyskuje coraz większą popularność wśród pacjentów w Koszalinie. Dzięki nowoczesnym technologiom oraz zaawansowanym materiałom dentystycznym, stomatolodzy są w stanie przeprowadzić skomplikowane zabiegi w bardzo krótkim czasie. Wiele gabinetów oferuje usługi takie jak implantacja zębów, odbudowa ubytków czy nawet całkowita rekonstrukcja uzębienia w ciągu jednego dnia. Kluczowym elementem tego procesu jest wykorzystanie technologii CAD/CAM, która pozwala na precyzyjne zaprojektowanie i wykonanie protez oraz koron w zaledwie kilka godzin. Pacjenci mogą cieszyć się nowym uśmiechem bez długiego oczekiwania na tradycyjne metody leczenia, co jest szczególnie istotne dla osób prowadzących aktywny tryb życia. Dodatkowo, wiele gabinetów oferuje kompleksową obsługę, co oznacza, że pacjenci mogą liczyć na pełną diagnostykę i leczenie w jednym miejscu.
Jakie są koszty leczenia zębów w jeden dzień w Koszalinie
Koszty leczenia zębów w jeden dzień w Koszalinie mogą się znacznie różnić w zależności od rodzaju zabiegu oraz wybranej kliniki. Warto jednak zauważyć, że chociaż cena może być wyższa niż tradycyjnych metod leczenia, to oszczędność czasu oraz komfort pacjenta często rekompensują te wydatki. Na przykład, implanty zębowe wykonane w ciągu jednego dnia mogą kosztować od kilku do kilkunastu tysięcy złotych za sztukę, w zależności od jakości materiałów oraz doświadczenia lekarza. Oprócz tego należy uwzględnić koszty dodatkowych usług takich jak diagnostyka obrazowa czy konsultacje specjalistyczne. Wiele klinik oferuje również różne formy finansowania, co może ułatwić pacjentom podjęcie decyzji o leczeniu. Ważne jest, aby przed podjęciem decyzji o zabiegu dokładnie zapoznać się z ofertą różnych gabinetów oraz porównać ceny i jakość świadczonych usług.
Jakie są opinie pacjentów o leczeniu zębów w jeden dzień w Koszalinie

Opinie pacjentów na temat leczenia zębów w jeden dzień w Koszalinie są zazwyczaj pozytywne, co potwierdza rosnącą popularność tej metody. Wielu pacjentów docenia przede wszystkim wygodę i szybkość całego procesu, co pozwala im uniknąć długiego oczekiwania na zakończenie leczenia. Osoby, które skorzystały z tej usługi często podkreślają profesjonalizm personelu oraz nowoczesny sprzęt wykorzystywany podczas zabiegów. Dzięki temu czują się pewniej i bardziej komfortowo podczas wizyt u dentysty. Niektórzy pacjenci zauważają również znaczną poprawę estetyki swojego uśmiechu już po pierwszej wizycie, co wpływa na ich samopoczucie i pewność siebie. Oczywiście zdarzają się także negatywne opinie związane głównie z wysokimi kosztami lub brakiem pełnej informacji na temat przebiegu leczenia.
Jak wygląda proces leczenia zębów w jeden dzień w Koszalinie
Proces leczenia zębów w jeden dzień w Koszalinie jest starannie zaplanowany i składa się z kilku kluczowych etapów. Pierwszym krokiem jest konsultacja ze stomatologiem, który przeprowadza dokładną diagnostykę oraz ocenia stan uzębienia pacjenta. Na podstawie tych informacji lekarz może zaproponować odpowiedni plan leczenia dostosowany do indywidualnych potrzeb pacjenta. Kolejnym etapem jest wykonanie zdjęć rentgenowskich oraz skanowanie jamy ustnej przy użyciu nowoczesnych technologii 3D. Dzięki temu możliwe jest precyzyjne zaprojektowanie przyszłych implantów lub koron. Po zakończeniu etapu diagnostycznego następuje właściwe leczenie, które może obejmować ekstrakcję uszkodzonych zębów oraz wszczepienie implantów lub zakładanie koron protetycznych. Cały proces odbywa się zazwyczaj pod znieczuleniem miejscowym, co minimalizuje dyskomfort pacjenta.
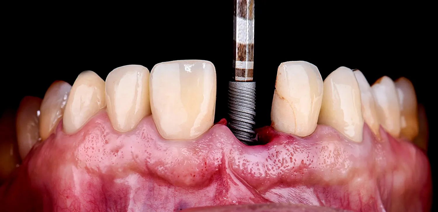
Jakie technologie są wykorzystywane w leczeniu zębów w jeden dzień w Koszalinie
W leczeniu zębów w jeden dzień w Koszalinie wykorzystuje się szereg nowoczesnych technologii, które znacząco poprawiają jakość i efektywność zabiegów stomatologicznych. Kluczowym elementem jest technologia CAD/CAM, która umożliwia cyfrowe projektowanie i produkcję koron, mostów oraz innych uzupełnień protetycznych. Dzięki temu proces ten staje się znacznie szybszy i bardziej precyzyjny. W wielu gabinetach stosuje się również skanery wewnątrzustne, które zastępują tradycyjne odciski, eliminując nieprzyjemne uczucie związane z ich pobieraniem. Skanery te pozwalają na uzyskanie dokładnych modeli 3D jamy ustnej pacjenta, co jest kluczowe dla dalszego planowania leczenia. Dodatkowo, wiele klinik korzysta z technologii drukowania 3D, co pozwala na szybkie wytwarzanie prototypów oraz finalnych produktów. Warto również wspomnieć o zastosowaniu systemów obrazowania 3D, takich jak tomografia komputerowa, która umożliwia dokładną ocenę struktury kostnej i planowanie implantacji zębów z najwyższą precyzją.
Jakie są zalety leczenia zębów w jeden dzień w Koszalinie
Leczenie zębów w jeden dzień w Koszalinie niesie ze sobą wiele korzyści, które przyciągają pacjentów do nowoczesnych gabinetów stomatologicznych. Przede wszystkim, jednym z największych atutów tej metody jest oszczędność czasu. Pacjenci mogą uniknąć wielokrotnych wizyt u dentysty, co jest szczególnie ważne dla osób prowadzących intensywne życie zawodowe lub rodzinne. Kolejną zaletą jest komfort psychiczny związany z szybkim uzyskaniem efektu końcowego – nowego uśmiechu. Dzięki nowoczesnym technologiom możliwe jest przeprowadzenie skomplikowanych zabiegów w krótkim czasie, co znacząco zmniejsza stres związany z długotrwałym leczeniem. Dodatkowo, wiele osób docenia fakt, że dzięki tej metodzie można uzyskać natychmiastowe rezultaty estetyczne, co wpływa na poprawę samopoczucia i pewności siebie pacjentów. Warto również zauważyć, że leczenie w jeden dzień często wiąże się z mniejszym bólem oraz dyskomfortem po zabiegach, ponieważ nowoczesne techniki minimalizują inwazyjność procedur.
Jak przygotować się do leczenia zębów w jeden dzień w Koszalinie
Przygotowanie do leczenia zębów w jeden dzień w Koszalinie jest kluczowym etapem, który może wpłynąć na sukces całego procesu. Przed wizytą warto zebrać wszystkie niezbędne informacje dotyczące swojego zdrowia jamy ustnej oraz historii medycznej. Należy również przygotować listę pytań do stomatologa dotyczących planowanego zabiegu oraz jego przebiegu. Ważne jest także, aby przed wizytą unikać spożywania pokarmów i napojów przez kilka godzin, zwłaszcza jeśli planowane jest znieczulenie ogólne lub miejscowe. W przypadku osób przyjmujących leki lub mających problemy zdrowotne konieczna może być wcześniejsza konsultacja ze specjalistą celem omówienia ewentualnych przeciwwskazań do zabiegu. Dobrze jest także zadbać o komfort psychiczny przed wizytą – można rozważyć relaksacyjne techniki oddechowe lub medytację.
Jak długo trwa proces leczenia zębów w jeden dzień w Koszalinie
Czas trwania procesu leczenia zębów w jeden dzień w Koszalinie może różnić się w zależności od rodzaju wykonywanego zabiegu oraz indywidualnych potrzeb pacjenta. Zazwyczaj cały proces rozpoczyna się od konsultacji i diagnostyki, które mogą trwać od 30 minut do godziny. Następnie następuje właściwe leczenie, które obejmuje wszczepienie implantów lub zakładanie koron protetycznych. Czas trwania tych procedur może wynosić od kilku godzin do całego dnia, jednak większość gabinetów stara się zakończyć wszystkie działania tego samego dnia. W przypadku bardziej skomplikowanych przypadków czas ten może być nieco dłuższy, ale zazwyczaj nie przekracza jednego dnia roboczego. Ważne jest jednak to, że pacjenci mogą liczyć na pełną informację o przewidywanym czasie trwania zabiegów już podczas pierwszej wizyty u dentysty.
Jak dbać o nowe zęby po leczeniu w jeden dzień w Koszalinie
Prawidłowa pielęgnacja nowych zębów po leczeniu w jeden dzień w Koszalinie jest kluczowa dla zapewnienia ich trwałości oraz zdrowia jamy ustnej. Po zakończeniu zabiegów stomatologicznych lekarze zazwyczaj udzielają szczegółowych wskazówek dotyczących higieny jamy ustnej oraz diety na najbliższe dni. Ważne jest, aby unikać twardych i lepkich pokarmów przez kilka dni po zabiegu, aby nie obciążać świeżo wszczepionych implantów czy koron protetycznych. Należy również pamiętać o regularnym szczotkowaniu zębów oraz stosowaniu nici dentystycznej lub irygatora wodnego do czyszczenia przestrzeni międzyzębowych. Regularne wizyty kontrolne u dentysty są równie istotne – pozwalają one na monitorowanie stanu zdrowia uzębienia oraz wykrywanie ewentualnych problemów na wczesnym etapie. Dodatkowo warto zwrócić uwagę na stosowanie płynów do płukania jamy ustnej zawierających składniki antybakteryjne, które pomogą utrzymać świeżość oddechu i zapobiegać infekcjom.
Jak wybrać odpowiednią klinikę stomatologiczną oferującą leczenie zębów w jeden dzień w Koszalinie
Wybór odpowiedniej kliniki stomatologicznej oferującej leczenie zębów w jeden dzień w Koszalinie to kluczowy krok dla każdego pacjenta pragnącego skorzystać z tej nowoczesnej metody. Przede wszystkim warto zwrócić uwagę na doświadczenie lekarzy oraz ich kwalifikacje – dobrze jest poszukać informacji o ich specjalizacjach oraz odbytych szkoleniach związanych z nowoczesnymi technologiami stomatologicznymi. Kolejnym istotnym aspektem są opinie innych pacjentów – warto przeczytać recenzje dostępne online lub zapytać znajomych o rekomendacje dotyczące konkretnych gabinetów. Również wyposażenie kliniki ma znaczenie – nowoczesny sprzęt oraz technologie powinny być standardem dla placówki oferującej szybkie leczenie uzębienia. Nie bez znaczenia są także ceny usług – warto porównywać oferty różnych klinik oraz sprawdzić dostępność programów finansowania lub promocji dla pacjentów.





